Seeing the Heart Cleerly: Why Cardiac Imaging Changes Everything
You can’t fix what you can’t see.
Most heart problems don’t announce themselves with a dramatic collapse or sudden chest pain. Instead, they build quietly—sometimes for decades—before symptoms appear.
That's why early cardiac imaging is so powerful. It allows us to detect hidden risks early, measure heart health precisely, and make smarter, data-driven decisions long before a crisis occurs.
Why Cardiac Imaging Matters
Heart disease remains the leading cause of death worldwide. Yet so much of it is preventable with early detection.
While traditional lab work gives valuable clues, it often doesn’t tell the full story. Imaging lets us see the heart in real time—and that changes everything.
Here are some of the key tools we use:
1. CAC (Coronary Artery
Calcium) Scan
Quick, non-invasive, and highly predictive.
Measures calcium (plaque) buildup in the arteries and assigns a calcium score to assess heart attack risk.
Often the first tool we recommend for establishing baseline cardiovascular health.
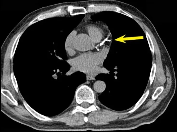
2. CT Angiogram
Think of it as CAC’s more detailed cousin.
Provides high-resolution images of the arteries and blood flow.
Helps identify both soft and hard plaques, offering a deeper look—especially important if there’s a family history of heart disease or unexplained symptoms.
3. CT Angiogram with Cleerly
A step beyond traditional imaging.
Uses AI-powered analysis to deliver crystal-clear insights into plaque type, volume, and distribution—details even expert radiologists can miss.
New at Longevity Health: We now manage the entire Cleerly process for you—from ordering to interpretation to creating a personalized prevention plan based on your unique risk profile.
4. CIMT (Carotid Intima-Media
Thickness)
Radiation-free ultrasound technology.
Measures the thickness of carotid artery walls, offering an early indicator of vascular aging and cardiovascular disease risk.
Key Takeaways
See the Invisible: Imaging reveals hidden problems before symptoms start.
Get Personalized Insight: We choose the right imaging tools based on your history, risk factors, and goals.
Act Early, Stay Ahead: Early detection gives you more options and more time to address any issues.
Is Cardiac Imaging Right for You?
Age, personal history, and family risk all play a role. The most important question is:
"Will the results help me take action to protect my health?"

